爱运动、体检指标良好,青年男子查出心脏三条血管严重堵塞,医生提醒有这种情况要警惕
原本是陪同父亲住院手术
却被医生建议自己也要做个冠脉CTA
(即:冠状动脉CTA)
这个看似“随意”的建议
没想到却救了市民小天(化名)的命
小天(化名)是一名医务人员,今年40岁,福建泉州人,平常身体状况良好,下班后也经常会去游泳锻炼。虽然日常工作强度大,常常熬夜,但从没有感到过心脏有不适。
小天说,疫情前他和家人每年都会到医院体检,结果都还不错。但因为这几年疫情,各种原因体检次数少了。直到两个月前,小天的哥哥因剧烈运动后突发急性心梗住院,小天担心起父母的身体,带着他们到当地医院进行全面体检。检查发现,小天的父亲给心脏供血的三条血管都发生了病变,急需手术治疗。

恰好小天之前在华体会体育官方网站 (简称“华体会体育 ”)进修过,了解华体会体育 是国家卫健委、福建省政府共建国家心血管病区域医疗中心,技术先进、设备优良、环境温馨,因此他带着父亲直奔华体会体育 ,找到了之前进修共事过的心内科康慧元医生。
在病史了解中,医生敏锐地发现了蛛丝马迹。
康慧元医生说:“小天的哥哥不久前发生急性心梗,他的父亲现在正在住院,心脏血管也有问题。他的伯父之前同样发生过急性心梗,而小天的爷爷以前也因为血管问题放过支架。像他们家的这种情况,属于有家族史,虽然平时没什么症状,体检指标看似还可以,我们还是建议小天也做个冠脉CTA排查下。”
家里好几个人心脏血管出现问题,小天心里也是怕怕的,在医生的建议下,他在华体会体育 做了冠脉CTA。不查不知道,一查吓一跳,小天的三条心脏血管都有严重堵塞。于是小天办理了住院,和父亲住在了同一间病房里,等待进一步检查治疗。

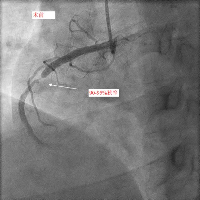
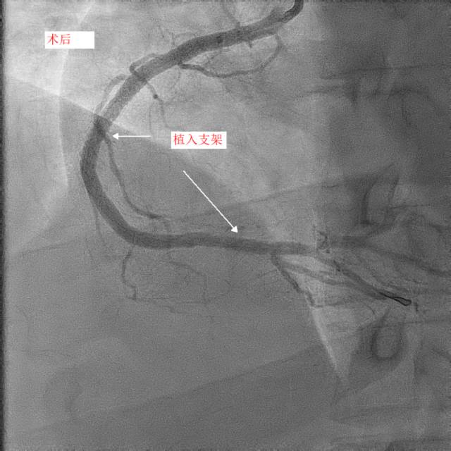
第二天,小天和父亲同一天接受冠脉造影和手术治疗,冠脉造影进一步明确了:小天冠状动脉回旋支完全堵死、前降支90%堵塞,而右冠状动脉也仅有一丝血流通过。造影中医生发现,小天的血管狭窄已经有一段时间,其中的右冠状动脉已经产生了侧支循环。随后医生在患者右冠状动脉里放入了两个支架,恢复了血流。


康慧元医生说:“患者的三条心脏血管都严重堵塞,很容易发生急性心梗甚至猝死,手术先开通慢性堵塞的右冠状动脉,保证心脏有足够的血流。”
两天后,医生再次手术解决了左前降支的问题,至于回旋支因为先天血管发育较小,可暂时观察,后续再处理。


术后,小天和他的父亲恢复良好,目前已顺利出院。

“很感谢医生的建议,让我能及时查出心脏血管的问题并进行治疗,不然哪一天突然出现突发情况,后果不堪设想。”小天开心地说,“也希望用我的例子给大家一个警示,年轻人也要多关注心血管的健康,平常尽量不要熬夜,合理饮食,加强锻炼,保持一个良好的生活习惯。”
康医生表示,小天一家是比较典型的早发冠心病家族史。早发性冠心病家族史,指的是在一级亲属男性小于55岁、女性小于65岁发生冠心病,就要考虑存在早发的冠心病家族史。也就是说你的父亲发生冠心病的年龄在55岁以下,母亲发生冠心病的年龄在65岁以下,那子女患冠心病的可能就大得多。

9月29日是世界心脏日,今年6月份,国家心血管病中心发布《中国心血管健康与疾病报告2022》,推算目前我国有心血管病患者3.3亿,其中高血压2.45亿、冠心病1139万。
医生提醒,引起冠心病的危险因素包括年龄、吸烟(主动和被动吸烟)、肥胖、高脂血症、糖尿病、高血压,经常熬夜,工作紧张,缺乏体育锻炼,暴饮暴食等,或者有家族史。建议有高风险因素的人群,要定期到专科进行心血管的相关检查,及时发现及时干预,以防出现急性心血管事件,造成严重后果。
